Straight Teeth In As Few As 5 Appointments
Start your journey to a new smile with a free, no-obligation consultation with Colchester's top private orthodontist.
Book A Free Consultation

Conveniently Removable clear aligners
Angel aligners effectively straighten teeth and create wonderful smiles without the use of metal brackets or wires. These transparent, smooth, clear aligners are digitally manufactured and highly polished to ensure maximum comfort and precision.
Angel Aligners
BRACES
Highly efficient teeth straightening
Braces are a proven and reliable solution for treating a wide range of orthodontic concerns. At Colchester Orthodontic Centre we offer both metal and ceramic brace treatment options.
Braces
NHS BRACES
NHS orthodontic treatment for children
If your child requires orthodontic treatment and meets specific criteria, they could be eligible for NHS brace treatment. With a dentist referral, we can complete an assessment to determine if your child qualifies.
NHS Braces
Track your treatment progress from home
We use the latest technology in orthodontics to help make your treatment journey convenient and easy. The Dental Monitoring app transforms your smartphone into a remote scanning device, enabling us to track your treatment from anywhere.
Dental Monitoring
COSTS
Interest-free payment plans
We believe everyone deserves a healthy, confident smile. That’s why we offer flexible payment options, interest-free financing, and transparent pricing on all our treatments. With a £500 deposit, you can spread the cost of your treatment over 12 months at 0% APR finance ( Subject to age and status. Minimum spend applies)
Why choose Colchester Orthodontic Centre
Our highly trained specialists are ready to help you achieve your smile goals. Here are a few reasons why you should choose us for your orthodontic treatment journey:
30 years of experience
5.0 star Google reviews
Affordable financing
Free parking
Evening clinics
Open Saturday mornings
Meet our wonderful team
Our fantastic team of Specialist Orthodontists, orthodontic therapists, nurses, treatment coordinators and admin staff work closely together to provide every patient with the best possible care.
Meet our team
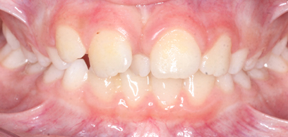
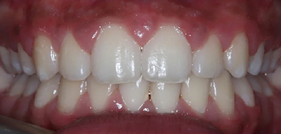
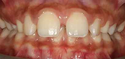
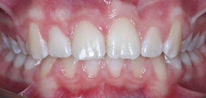
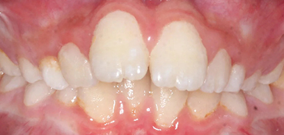
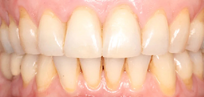
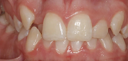
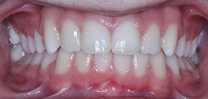
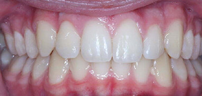
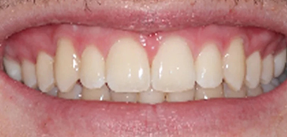
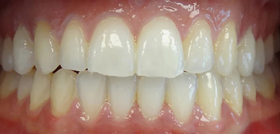
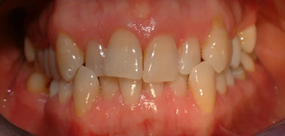
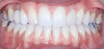
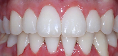
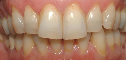
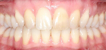
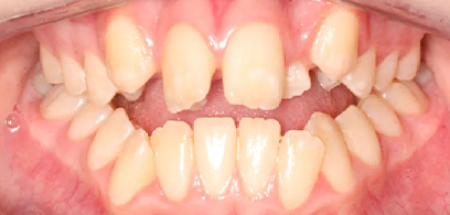
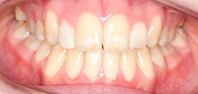
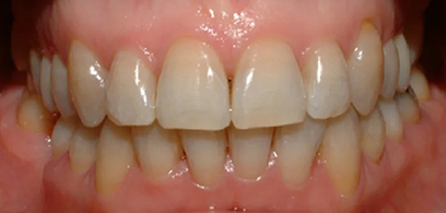
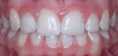
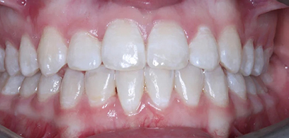
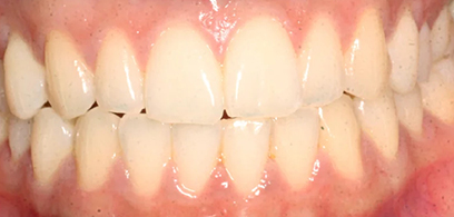
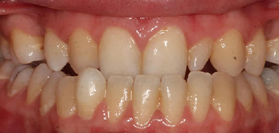
SMILE GALLERY
Beautiful smiles, happy patients
We have transformed the smiles of hundreds of patients. Take a look at some of the amazing results we have been able to achieve.
Book A Free Consultation
Start your smile transformation today!
We are here to support you every step of the way throughout your treatment journey. Get started by booking a free consultation with our friendly Treatment Coordinator.
Free Consultation